TSPAN33单克隆抗体[8A2A9]

AccuSift
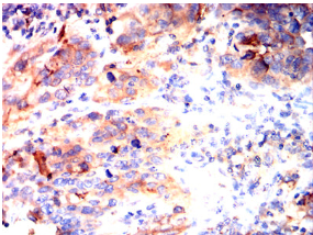
TSPAN33 Mouse Monoclonal antibody[8A2A9]
PEN; PEN.; TSPAN-33
货号 名称 规格 价格 货期 数量
AC3735 TSPAN33单克隆抗体[8A2A9] 50ug ¥1250 1周
AC3735 TSPAN33单克隆抗体[8A2A9] 100ug ¥2200 1周

TSPAN33 is a Protein Coding gene. Diseases associated with TSPAN33 include Occlusion Precerebral Artery and Intracranial Vasospasm. Gene Ontology annotations related to this gene include enzyme binding. An important paralog of this gene is TSPAN17.


Aliases:    PEN; PEN.; TSPAN-33    

Entrez GeneID :   340348    

Swissprot :   Q86UF1     

WB Predicted band size:    32kDa    

Host/Isotype:    Mouse IgG2b      

Species Reactivity:    Human    

Immunogen:    Purified recombinant fragment of human TSPAN33 (AA:Extra(46-64)+Extra(118-235) expressed in E. Coli.    


操作说明

IHC    1/200 - 1/1000    

FCM    1/200 - 1/400    

ELISA    1/10000    

参考文献