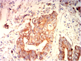
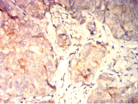
TSLPR 单克隆抗体[1E198]

AccuSift
TSLPR Mouse Monoclonal antibody[1E198]
CRL2; TSLPR; CRLF2Y
货号 名称 规格 价格 货期 数量
AC3731 TSLPR 单克隆抗体[1E198] 50ug ¥1250 1周
AC3731 TSLPR 单克隆抗体[1E198] 100ug ¥2200 1周

This gene encodes a member of the type I cytokine receptor family. The encoded protein is a receptor for thymic stromal lymphopoietin (TSLP). Together with the interleukin 7 receptor (IL7R), the encoded protein and TSLP activate STAT3, STAT5, and JAK2 pathways, which control processes such as cell proliferation and development of the hematopoietic system. Rearrangement of this gene with immunoglobulin heavy chain gene (IGH) on chromosome 14, or with P2Y purinoceptor 8 gene (P2RY8) on the same X or Y chromosomes is associated with B-progenitor acute lymphoblastic leukemia (ALL) and Down syndrome ALL. Alternatively spliced transcript variants have been found for this gene.


Aliases:    CRL2; TSLPR; CRLF2Y    

Entrez GeneID:    64109    

Swissprot :   Q9HC73     

WB Predicted band size:    42kDa    

Host/Isotype:    Mouse IgG1    

Species Reactivity:    Human    

Immunogen:    Purified recombinant fragment of human TSLPR (AA: extra(23-231)) expressed in E. Coli.    


操作说明

IHC    1/200-1/1000    

FCM    1/200-1/400    

ELISA    1/10000    

参考文献