TSG101单克隆抗体[8E10D]

AccuSift
TSG101 Mouse Monoclonal antibody[8E10D]
TSG10; VPS23
货号 名称 规格 价格 货期 数量
AC3729 TSG101单克隆抗体[8E10D] 50ug ¥1250 1周
AC3729 TSG101单克隆抗体[8E10D] 100ug ¥2200 1周

The protein encoded by this gene belongs to a group of apparently inactive homologs of ubiquitin-conjugating enzymes. The gene product contains a coiled-coil domain that interacts with stathmin, a cytosolic phosphoprotein implicated in tumorigenesis. The protein may play a role in cell growth and differentiation and act as a negative growth regulator. In vitro steady-state expression of this tumor susceptibility gene appears to be important for maintenance of genomic stability and cell cycle regulation. Mutations and alternative splicing in this gene occur in high frequency in breast cancer and suggest that defects occur during breast cancer tumorigenesis and/or progression.


Aliases:    TSG10; VPS23    

Entrez GeneID:    7251      

Swissprot:    Q99816    

WB Predicted band size:    44kDa    

Host/Isotype:    Mouse IgG1    

Species Reactivity:    Human    

Immunogen:    Purified recombinant fragment of human TSG101 (AA: 167-374) expressed in E. Coli.    


操作说明

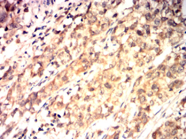
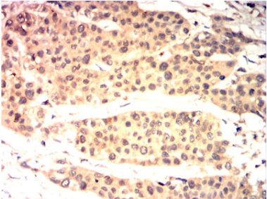
IHC    1/200 - 1/1000    

FCM    1/200 - 1/400    

ELISA    1/10000    

参考文献