Trim5a单克隆抗体[3B11H]

AccuSift
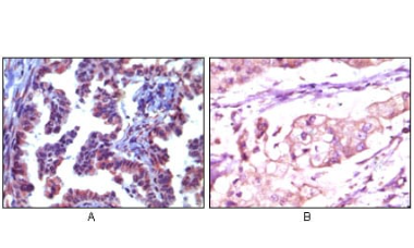
Trim5a Mouse Monoclonal antibody[3B11H]
RNF88; TRIM5alpha; TRIM5
货号 名称 规格 价格 货期 数量
AC3724 Trim5a单克隆抗体[3B11H] 50ug ¥1250 1周
AC3724 Trim5a单克隆抗体[3B11H] 100ug ¥2200 1周

TRIM5-alpha is a protein that is found in the cells of many mammals and fends of various retrovirus infections. It protects monkeys from infection with HIV-1, and humans from infection with some other viruses. If a retrovirus has entered a cell, it needs to shed its capsid in order to reversely transcribe its genes, so that they can be expressed by the host cell. It is believed that TRIM5 alpha, which is present in the cytoplasm, somehow recognizes the capsid and blocks its shedding, thereby stopping the virus in its tracks. It thus represents an intracellular defense completely separate from the rest of the body's immune system.


Aliases:    RNF88; TRIM5alpha    

Entrez GeneID:    85363    

Swissprot:    Q9C035    

Host/Isotype:    Mouse IgG1    

Species Reactivity:    Human    

Immunogen:    Purified recombinant fragment of human trim5 alpha expressed in E. Coli.    


操作说明

WB    1/500 - 1/2000    

IHC    1/200 - 1/1000    

ELISA    1/10000    

参考文献