TRIM25单克隆抗体[5B5B10]

AccuSift
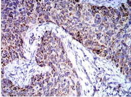
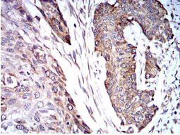
TRIM25 Mouse Monoclonal antibody[5B5B10]
EFP; Z147; RNF147; ZNF147
货号 名称 规格 价格 货期 数量
AC3721 TRIM25单克隆抗体[5B5B10] 50ug ¥1250 1周
AC3721 TRIM25单克隆抗体[5B5B10] 100ug ¥2200 1周

The protein encoded by this gene is a member of the tripartite motif (TRIM) family. The TRIM motif includes three zinc-binding domains, a RING, a B-box type 1 and a B-box type 2, and a coiled-coil region. The protein localizes to the cytoplasm. The presence of potential DNA-binding and dimerization-transactivation domains suggests that this protein may act as a transcription factor, similar to several other members of the TRIM family. Expression of the gene is upregulated in response to estrogen, and it is thought to mediate estrogen actions in breast cancer as a primary response gene.


Aliases:    EFP; Z147; RNF147; ZNF147    

Entrez GeneID:    7706    

Swissprot :   Q14258    

WB Predicted band size:    71kDa    

Host/Isotype:    Mouse IgG2b    

Species Reactivity:    Human    

Immunogen:    Purified recombinant fragment of human TRIM25 (AA: 211-360) expressed in E. Coli.    


操作说明

WB    1/500 - 1/2000    

IHC    1/200 - 1/1000    

IF/ICC    1/50 - 1/250    

FCM    1/200 - 1/400    

ELISA    1/10000    

参考文献