TRIB2单克隆抗体[6A12A]

AccuSift
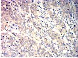
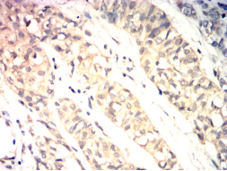
TRIB2 Mouse Monoclonal antibody[6A12A]
C5FW; TRB2; GS3955
货号 名称 规格 价格 货期 数量
AC3718 TRIB2单克隆抗体[6A12A] 50ug ¥1250 1周
AC3718 TRIB2单克隆抗体[6A12A] 100ug ¥2200 1周

This gene encodes one of three members of the Tribbles family. The Tribbles members share a Trb domain, which is homologous to protein serine-threonine kinases, but lacks the active site lysine and probably lacks a catalytic function. The Tribbles proteins interact and modulate the activity of signal transduction pathways in a number of physiological and pathological processes. This Tribbles member induces apoptosis of cells mainly of the hematopoietic origin. It has been identified as a protein up-regulated by inflammatory stimuli in myeloid (THP-1) cells, and also as an oncogene that inactivates the transcription factor C/EBPalpha (CCAAT/enhancer-binding protein alpha) and causes acute myelogenous leukemia. Alternatively spliced transcript variants have been found for this gene. [provided by RefSeq, Mar 2009]


Aliases:    C5FW; TRB2; GS3955    

Entrez GeneID:    28951    

Swissprot :   Q92519       

WB Predicted band size:    38.8kDa    

Host/Isotype:    Mouse IgG2a    

Species Reactivity:    Human    

Immunogen:    Purified recombinant fragment of human TRIB2 (AA: 1-200) expressed in E. Coli.    


操作说明

WB    1/500 - 1/2000    

IHC    1/200 - 1/1000    

IF/ICC    1/200 - 1/1000    

FCM    1/200 - 1/400    

ELISA    1/10000    

参考文献