TP53BP1单克隆抗体[6B3E1]

AccuSift
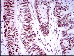
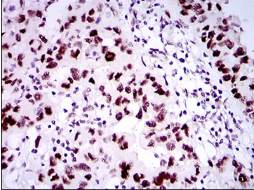
TP53BP1 Mouse Monoclonal antibody[6B3E1]
p202; 53BP1
货号 名称 规格 价格 货期 数量
AC3707 TP53BP1单克隆抗体[6B3E1] 50ug ¥1250 1周
AC3707 TP53BP1单克隆抗体[6B3E1] 100ug ¥2200 1周

T protein p53 binding protein 1 may have a role in checkpoint signaling during mitosis,enhance TP53-mediated transcriptional activation and play a role in the response to DNA damage.


Aliases:    p202; 53BP1    

Entrez GeneID:    7158    

Swissprot :   Q12888    

WB Predicted band size:    213.6kDa    

Host/Isotype:    Mouse IgG1    

Species Reactivity:    Human    

Immunogen :   Purified recombinant fragment of human TP53BP1 (AA: 574-773) expressed in E. Coli.    


操作说明

IHC    1/200 - 1/1000    

FCM    1/200 - 1/400    

ELISA    1/10000    

参考文献