TNNI2单克隆抗体[2F18]

AccuSift
TNNI2 Mouse Monoclonal antibody[2F18]
DA2B; FSSV; fsTnI; AMCD2B
货号 名称 规格 价格 货期 数量
AC3701 TNNI2单克隆抗体[2F18] 50ug ¥1250 1周
AC3701 TNNI2单克隆抗体[2F18] 100ug ¥2200 1周

This gene encodes a fast-twitch skeletal muscle protein, a member of the troponin I gene family, and a component of the troponin complex including troponin T, troponin C and troponin I subunits. The troponin complex, along with tropomyosin, is responsible for the calcium-dependent regulation of striated muscle contraction. Mouse studies show that this component is also present in vascular smooth muscle and may play a role in regulation of smooth muscle function. In addition to muscle tissues, this protein is found in corneal epithelium, cartilage where it is an inhibitor of angiogenesis to inhibit tumor growth and metastasis, and mammary gland where it functions as a co-activator of estrogen receptor-related receptor alpha. This protein also suppresses tumor growth in human ovarian carcinoma. Mutations in this gene cause myopathy and distal arthrogryposis type 2B. Alternatively spliced transcript variants have been found for this gene.


Aliases:    DA2B; FSSV; fsTnI; AMCD2B    

Entrez GeneID:    7136    

Swissprot :   P48788       

WB Predicted band size:    21kDa    

Host/Isotype:    Mouse IgG1    

Species Reactivity:    Human    

Immunogen:    Purified recombinant fragment of human TNNI2 expressed in E. Coli.    


操作说明

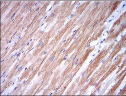
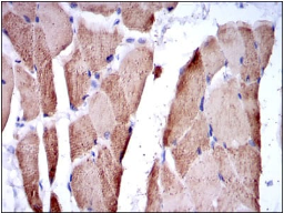
IHC    1/200 - 1/1000    

FCM    1/200 - 1/400    

ELISA    1/10000    

参考文献