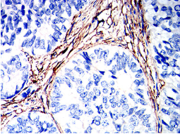
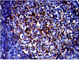
TMEM119单克隆抗体[1B5E1]

AccuSift
TMEM119 Mouse Monoclonal antibody[1B5E1]
OBIF
货号 名称 规格 价格 货期 数量
AC3672 TMEM119单克隆抗体[1B5E1] 50ug ¥1250 1周
AC3672 TMEM119单克隆抗体[1B5E1] 100ug ¥2200 1周

TMEM119 (Transmembrane Protein 119) is a Protein Coding gene. Diseases associated with TMEM119 include Sciatic Neuropathy and Lesion Of Sciatic Nerve.


Aliases:    OBIF    

Entrez GeneID:    338773    

Swissprot:    Q4V9L6     

WB Predicted band size:    29,2kDa    

Host/Isotype:    Mouse IgG2a    

Species Reactivity:    Human    

Immunogen:    Purified recombinant fragment of human TMEM119 (AA: 118-283) expressed in E. Coli.    

操作说明

IHC    1/200 - 1/1000    

FCM    1/200 - 1/400    

ELISA    1/10000    

参考文献