TLT2单克隆抗体[4F9D2]

AccuSift
TLT2 Mouse Monoclonal antibody[4F9D2]
TLT2; TLT-2; C6orf76; dJ238O23.1
货号 名称 规格 价格 货期 数量
AC3671 TLT2单克隆抗体[4F9D2] 50ug ¥1250 1周
AC3671 TLT2单克隆抗体[4F9D2] 100ug ¥2200 1周

TREML2 is located in a gene cluster on chromosome 6 with the single Ig variable (IgV) domain activating receptors TREM1 (MIM 605085) and TREM2 (MIM 605086), but it has distinct structural and functional properties.


Aliases:    TLT2; TLT-2; C6orf76; dJ238O23.1    

Entrez GeneID:    79865    

Swissprot :   Q5T2D2     

WB Predicted band size:    35kDa    

Host/Isotype:    Mouse IgG2a    

Species Reactivity:    Human    

Immunogen:    Purified recombinant fragment of human TLT2 (AA: extra 19-268) expressed in E. Coli.    


操作说明

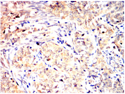
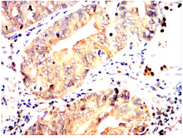
IHC    1/200 - 1/1000    

IF/ICC    1/200 - 1/1000    

FCM    1/200 - 1/400    

ELISA    1/10000    

参考文献