TLR9单克隆抗体[1B12H]

AccuSift
TLR9 Mouse Monoclonal antibody[1B12H]
CD289
货号 名称 规格 价格 货期 数量
AC3669 TLR9单克隆抗体[1B12H] 50ug ¥1250 1周
AC3669 TLR9单克隆抗体[1B12H] 100ug ¥2200 1周

The protein encoded by this gene is a member of the Toll-like receptor (TLR) family which plays a fundamental role in pathogen recognition and activation of innate immunity. TLRs are highly conserved from Drosophila to humans and share structural and functional similarities. They recognize pathogen-associated molecular patterns (PAMPs) that are expressed on infectious agents, and mediate the production of cytokines necessary for the development of effective immunity. The various TLRs exhibit different patterns of expression. This gene is preferentially expressed in immune cell rich tissues, such as spleen, lymph node, bone marrow and peripheral blood leukocytes. Studies in mice and human indicate that this receptor mediates cellular response to unmethylated CpG dinucleotides in bacterial DNA to mount an innate immune response.


Aliases:    CD289    

Entrez GeneID:    54106    

Swissprot:    Q9NR96    

WB Predicted band size:    115.8kDa    

Host/Isotype:    Mouse IgG2a    

Species Reactivity:    Human    

Immunogen:    Purified recombinant fragment of human TLR9 (AA: 868-1016) expressed in E. Coli.    


操作说明

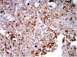
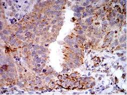
IHC    1/200 - 1/1000    

IF/ICC    1/200 - 1/1000    

FCM    1/200 - 1/400    

ELISA    1/10000    

参考文献