TLR10单克隆抗体[1F8F2]

AccuSift
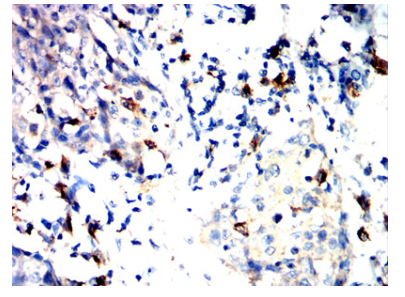
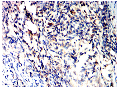
TLR10 Mouse Monoclonal antibody[1F8F2]
CD290
货号 名称 规格 价格 货期 数量
AC3663 TLR10单克隆抗体[1F8F2] 50ug ¥1250 1周
AC3663 TLR10单克隆抗体[1F8F2] 100ug ¥2200 1周

The protein encoded by this gene is a member of the Toll-like receptor (TLR) family which plays a fundamental role in pathogen recognition and activation of innate immunity. TLRs are highly conserved from Drosophila to humans and share structural and functional similarities. They recognize pathogen-associated molecular patterns (PAMPs) that are expressed on infectious agents, and mediate the production of cytokines necessary for the development of effective immunity. The various TLRs exhibit different patterns of expression. This gene is most highly expressed in lymphoid tissues such as spleen, lymph node, thymus, and tonsil. Multiple alternatively spliced transcript variants which encode different protein isoforms have been found for this gene. [provided by RefSeq, Aug 2010]


Aliases :   CD290    

Entrez GeneID:    81793    

Swissprot :   Q9BXR5    

WB Predicted band size:    94.6kDa    

Host/Isotype:    Mouse IgG2b    

Species Reactivity :   Human    

Immunogen:    Purified recombinant fragment of human TLR10 (AA: extra(20-219)) expressed in E. Coli.    


操作说明

IHC    1/200 - 1/1000    

IF/ICC    1/200 - 1/1000    

FCM    1/200 - 1/400    

ELISA    1/10000    

参考文献