TIE1单克隆抗体[8D12D]

AccuSift
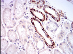
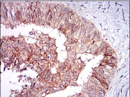
TIE1 Mouse Monoclonal antibody[8D12D]
TIE; JTK14
货号 名称 规格 价格 货期 数量
AC3651 TIE1单克隆抗体[8D12D] 50ug ¥1250 1周
AC3651 TIE1单克隆抗体[8D12D] 100ug ¥2200 1周

This gene encodes a member of the tyrosine protein kinase family. The encoded protein plays a critical role in angiogenesis and blood vessel stability by inhibiting angiopoietin 1 signaling through the endothelial receptor tyrosine kinase Tie2. Ectodomain cleavage of the encoded protein relieves inhibition of Tie2 and is mediated by multiple factors including vascular endothelial growth factor. Alternatively spliced transcript variants encoding multiple isoforms have been observed for this gene.


Aliases:    TIE; JTK14    

Entrez GeneID:    7075    

Swissprot:    P35590    

WB Predicted band size:    125kDa    

Host/Isotype:    Mouse IgG1    

Species Reactivity:    Human    

Immunogen:    Purified recombinant fragment of human TIE1 (AA: 385-607) expressed in E. Coli.    


操作说明

WB    1/500 - 1/2000    

IHC    1/200 - 1/1000    

ELISA    1/10000    

参考文献