THY1单克隆抗体[7E1B1]

AccuSift
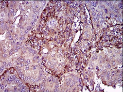
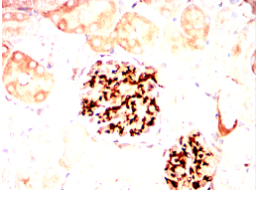
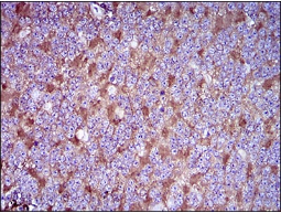
THY1 Mouse Monoclonal antibody[7E1B1]
CD90
货号 名称 规格 价格 货期 数量
AC3647 THY1单克隆抗体[7E1B1] 50ug ¥1250 1周
AC3647 THY1单克隆抗体[7E1B1] 100ug ¥2200 1周

THY1 may play a role in cell-cell or cell-ligand interactions during synaptogenesis and other events in the brain.


Aliases:   CD90    

Entrez GeneID:    7070    

Swissprot:    P04216     

WB Predicted band size:    18kDa    

Host/Isotype:    Mouse IgG1    

Species Reactivity:    Human,Rat    

Immunogen:    Purified recombinant fragment of human THY1 (AA: 17-132) expressed in E. Coli.    

操作说明

WB    1/500 - 1/2000    

IHC    1/200 - 1/1000    

IF/ICC    1/200 - 1/1000    

ELISA    1/10000    

参考文献