TERF2单克隆抗体[3H6B]

AccuSift
TERF2 Mouse Monoclonal antibody[3H6B]
TRF2; TRBF2
货号 名称 规格 价格 货期 数量
AC3619 TERF2单克隆抗体[3H6B] 50ug ¥1250 1周
AC3619 TERF2单克隆抗体[3H6B] 100ug ¥2200 1周

This gene encodes a telomere specific protein, TERF2, which is a component of the telomere nucleoprotein complex. This protein is present at telomeres in metaphase of the cell cycle, is a second negative regulator of telomere length and plays a key role in the protective activity of telomeres. While having similar telomere binding activity and domain organization, TERF2 differs from TERF1 in that its N terminus is basic rather than acidic.


Aliases:    TRF2; TRBF2    

Entrez GeneID:    7014    

Swissprot:    Q15554    

WB Predicted band size:    55.6kDa    

Host/Isotype:    Mouse IgG1    

Species Reactivity:    Human    

Immunogen:    Purified recombinant fragment of human TERF2 (AA: 324-500) expressed in E. Coli.    

操作说明

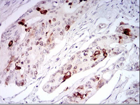
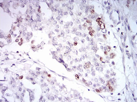
IHC    1/200 - 1/1000    

ELISA    1/10000    

参考文献