TDP43单克隆抗体[6G2D8]

AccuSift
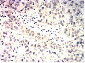
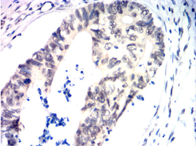
TDP43 Mouse Monoclonal antibody[6G2D8]
ALS10; TDP-43
货号 名称 规格 价格 货期 数量
AC3617 TDP43单克隆抗体[6G2D8] 50ug ¥1250 1周
AC3617 TDP43单克隆抗体[6G2D8] 100ug ¥2200 1周

HIV-1, the causative agent of acquired immunodeficiency syndrome (AIDS), contains an RNA genome that produces a chromosomally integrated DNA during the replicative cycle. Activation of HIV-1 gene expression by the transactivator Tat is dependent on an RNA regulatory element (TAR) located downstream of the transcription initiation site. The protein encoded by this gene is a transcriptional repressor that binds to chromosomally integrated TAR DNA and represses HIV-1 transcription. In addition, this protein regulates alternate splicing of the CFTR gene. A similar pseudogene is present on chromosome 20. [provided by RefSeq, Jul 2008]


Aliases:    ALS10; TDP-43    

Entrez GeneID:    23435    

Swissprot:    Q13148       

WB Predicted band size:    44.7kDa    

Host/Isotype:    Mouse IgG1    

Species Reactivity:    Human    

Immunogen:    Purified recombinant fragment of human TDP43 (AA: free peptide) expressed in E. Coli.    


操作说明

WB    1/500 - 1/2000    

IHC    1/200 - 1/1000    

IF/ICC    1/200 - 1/1000    

FCM    1/200 - 1/400    

ELISA    1/10000    

参考文献