TBCC单克隆抗体[7G6H1]

AccuSift
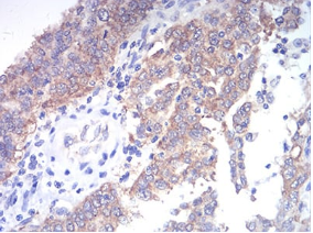
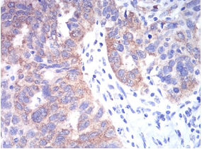
TBCC Mouse Monoclonal antibody[7G6H1]
CFC
货号 名称 规格 价格 货期 数量
AC3608 TBCC单克隆抗体[7G6H1] 50ug ¥1250 1周
AC3608 TBCC单克隆抗体[7G6H1] 100ug ¥2200 1周

Cofactor C is one of four proteins (cofactors A, D, E, and C) involved in the pathway leading to correctly folded beta-tubulin from folding intermediates. Cofactors A and D are believed to play a role in capturing and stabilizing beta-tubulin intermediates in a quasi-native confirmation. Cofactor E binds to the cofactor D/beta-tubulin complex; interaction with cofactor C then causes the release of beta-tubulin polypeptides that are committed to the native state.


Aliases:    CFC    

Entrez GeneID:    6903    

Swissprot:    Q15814    

WB Predicted band size:    39.2kDa    

Host/Isotype:    Mouse IgG1    

Species Reactivity:    Human    

Immunogen:    Purified recombinant fragment of human *** (AA: 1-196) expressed in E. Coli.    

操作说明

IHC    1/200 - 1/1000    

IF/ICC    1/200 - 1/1000    

ELISA    1/10000    

参考文献