TACSTD2单克隆抗体[6H16]

AccuSift
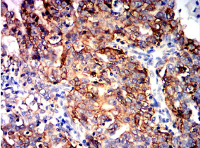
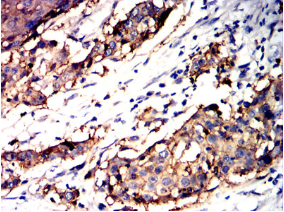
TACSTD2 Mouse Monoclonal antibody[6H16]
EGP1; GP50; M1S1; EGP-1; TROP2; GA7331; GA733-1
货号 名称 规格 价格 货期 数量
AC3605 TACSTD2单克隆抗体[6H16] 50ug ¥1250 1周
AC3605 TACSTD2单克隆抗体[6H16] 100ug ¥2200 1周

This intronless gene encodes a carcinoma-associated antigen. This antigen is a cell surface receptor that transduces calcium signals. Mutations of this gene have been associated with gelatinous drop-like corneal dystrophy.[provided by RefSeq, Dec 2009]


Aliases:    EGP1; GP50; M1S1; EGP-1; TROP2; GA7331; GA733-1    

Entrez GeneID:    4070    

Swissprot:    P09758    

WB Predicted band size:    25.5kDa    

Host/Isotype:    Mouse IgG2b    

Species Reactivity:    Human    

Immunogen:    Purified recombinant fragment of human TACSTD2 (AA: Extra(27-274)) expressed in E. Coli.    


操作说明

WB    1/500 - 1/2000    

IHC    1/200 - 1/1000    

FCM    1/200 - 1/400    

ELISA    1/10000    

参考文献