SYP单克隆抗体[7H12G]

AccuSift
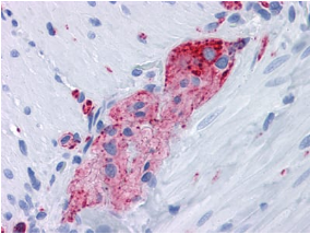
SYP Mouse Monoclonal antibody[7H12G]
MRXSYP; SYP
货号 名称 规格 价格 货期 数量
AC3600 SYP单克隆抗体[7H12G] 50ug ¥1250 1周
AC3600 SYP单克隆抗体[7H12G] 100ug ¥2200 1周

Synaptophysin (p38) is an integral membrane protein of small synaptic vesicles in brain and endocrine cells.Synaptophysin contains four transmembrane domains that form a hexameric channel or gap junction-like pore. Synaptophysin binds to the SNARE protein synaptobrevin/VAMP, which prevents the inclusion of synaptobrevin in the synaptic vesicle fusion complex and creates a pool of synaptobrevin for exocytosis when synapse activity increases. Synaptophysin is also responsible for targeting synaptobrevin 2/VAMP2 to synaptic vesicles, a critical component of the fusion complex.


Aliases:    MRXSYP; SYP    

Entrez GeneID:    6855    

Swissprot:    P08247    

WB Predicted band size:    33.8kDa    

Host/Isotype:    Mouse IgG1    

Species Reactivity:    Human,Rat    

Immunogen:    Purified recombinant fragment of SYP expressed in E. Coli.    

操作说明

WB    1/500 - 1/2000    

IHC    1/200 - 1/1000    

ELISA    1/10000    

参考文献