SYCP3单克隆抗体[6F9C5]

AccuSift
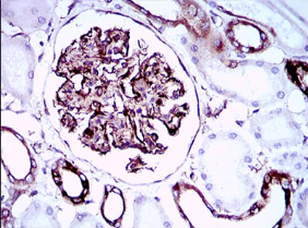
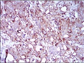
SYCP3 Mouse Monoclonal antibody[6F9C5]
COR1; SCP3; SPGF4
货号 名称 规格 价格 货期 数量
AC3594 SYCP3单克隆抗体[6F9C5] 50ug ¥1250 1周
AC3594 SYCP3单克隆抗体[6F9C5] 100ug ¥2200 1周

This gene encodes an essential structural component of the synaptonemal complex. This complex is involved in synapsis, recombination and segregation of meiotic chromosomes. Mutations in this gene are associated with azoospermia in males and susceptibility to pregnancy loss in females. Alternate splicing results in multiple transcript variants that encode the same protein.


Aliases :   COR1; SCP3; SPGF4    

Entrez GeneID:    50511    

Swissprot:    Q8IZU3    

WB Predicted band size:    27.7kDa    

Host/Isotype:    Mouse IgG1    

Species Reactivity    Human    

Immunogen:    Purified recombinant fragment of human SYCP3 (AA: 27-128) expressed in E. Coli.    

操作说明

IHC    1/200 - 1/1000    

IF/ICC    1/200 - 1/1000    

FCM    1/200 - 1/400    

ELISA    1/10000    

参考文献