STYK1单克隆抗体[2H2F1]

AccuSift
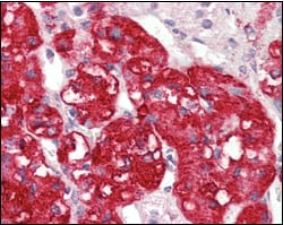
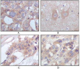
STYK1 Mouse Monoclonal antibody[2H2F1]
货号 名称 规格 价格 货期 数量
AC3586 STYK1单克隆抗体[2H2F1] 50ug ¥1250 1周
AC3586 STYK1单克隆抗体[2H2F1] 100ug ¥2200 1周

Protein kinases (PKs) represent a well studied but most diverse protein superfamily. The covalent, reversible linkage of phosphate to serine, threonine, and tyrosine residues of substrate proteins by protein kinases is probably ubiquitous cellular mechanism for regulation of physiological processes. It is known to us that most signaling pathways impinge at some point on protein kinases. Here we report a human putative receptor protein kinase cDNA STYK1. The STYK1 cDNA is 2749 base pairs in length and contains an open reading frame encoding 422 amino acids. The STYK1 gene is mapped to human chromosome 12p13 and 11 exons were found. RT-PCR showed that STYK1 is widely expressed in human tissues.


Aliases:    NOK; SuRTK106; DKFZp761P1010    

Entrez GeneID:    55359    

Swissprot:    Q6J9G0    

Host/Isotype:    Mouse IgG1    

Species Reactivity:    Human    

Immunogen:    Purified recombinant fragment of STYK1 expressed in E. Coli.    


操作说明

IHC    1/200 - 1/1000    

ELISA    1/10000    

参考文献