STAT5A单克隆抗体[6D4B1]

AccuSift
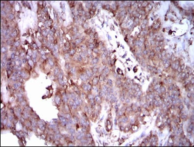
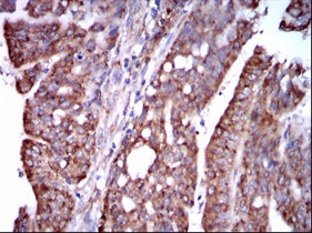
STAT5A Mouse Monoclonal antibody[6D4B1]
MGF; STAT5
货号 名称 规格 价格 货期 数量
AC3582 STAT5A单克隆抗体[6D4B1] 50ug ¥1250 1周
AC3582 STAT5A单克隆抗体[6D4B1] 100ug ¥2200 1周

The protein encoded by this gene is a member of the STAT family of transcription factors. In response to cytokines and growth factors, STAT family members are phosphorylated by the receptor associated kinases, and then form homo- or heterodimers that translocate to the cell nucleus where they act as transcription activators. This protein is activated by, and mediates the responses of many cell ligands, such as IL2, IL3, IL7 GM-CSF, erythropoietin, thrombopoietin, and different growth hormones. Activation of this protein in myeloma and lymphoma associated with a TEL/JAK2 gene fusion is independent of cell stimulus and has been shown to be essential for the tumorigenesis. The mouse counterpart of this gene is found to induce the expression of BCL2L1/BCL-X(L), which suggests the antiapoptotic function of this gene in cells.


Aliases:    MGF; STAT5    

Entrez GeneID:    6776    

Swissprot:    P42229    

WB Predicted band size:    90.6kDa    

Host/Isotype:    Mouse IgG1    

Species Reactivity:    Human    

Immunogen:    Purified recombinant fragment of human STAT5A (AA: 583-794 ) expressed in E. Coli.    

操作说明

WB    1/500 - 1/2000    

IHC    1/200 - 1/1000    

IF/ICC    1/50    

FCM    1/200 - 1/400    

ELISA    1/10000    

参考文献