STAT3单克隆抗体[3B5E6]

AccuSift
STAT3 Mouse Monoclonal antibody[3B5E6]
APRF; HIES; FLJ20882; MGC16063; STAT3
货号 名称 规格 价格 货期 数量
AC3579 STAT3单克隆抗体[3B5E6] 50ug ¥1250 1周
AC3579 STAT3单克隆抗体[3B5E6] 100ug ¥2200 1周

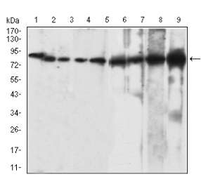
The Stat3 transcription factor is an important signaling molecule for many cytokines and growth-factor receptors and is required for murine fetal development . Stat3 is constitutively activated in a number of human tumors and possesses oncogenic potential and anti-apoptotic activities. Stat3 is activated by phosphorylation at Tyr705, which induces dimerization, nuclear translocation and DNA binding. Transcriptional activation seems to be regulated by phosphorylation at Ser727 through the MAPK or mTOR pathways. Stat3 isoform expression appears to reflect biological function as the relative expression levels of Stat3a (86 kDa) and Stat3.


Aliases:    APRF; HIES; FLJ20882; MGC16063; STAT3    

Entrez GeneID:    6774    

Swissprot:    P40763    

WB Predicted band size:    88kDa    

Host/Isotype:    Mouse IgG1    

Species Reactivity:    Human,Mouse,Monkey    

Immunogen:    Purified recombinant fragment of human STAT3 expressed in E. Coli.    

操作说明

WB    1/500-1/1000    

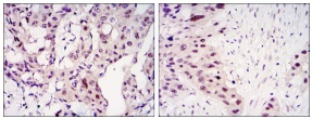
IHC    1/200 - 1/1000    

IF/ICC    1/200 - 1/1000    

ELISA    1/10000    

参考文献