SRA单克隆抗体[7H1G1]

AccuSift
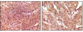
SRA Mouse Monoclonal antibody[7H1G1]
SRA; SRAP; STRAA1; pp7684; MGC87674; SRA1
货号 名称 规格 价格 货期 数量
AC3570 SRA单克隆抗体[7H1G1] 50ug ¥1250 1周
AC3570 SRA单克隆抗体[7H1G1] 100ug ¥2200 1周

Steroid receptor RNA activator 1 (SRA), with 237-amino acid protein (about 27kDa), belongs to the growing family of functional non-coding RNAs. SRA was originally described as the first functional noncoding RNA able to specifically coactivate the activity of steroid receptors. Specifically, SRA exists as both an RNA transcript that forms a complex with steroid receptor coactivator-1 and as a stably expressed protein. Its expression is strongly up-regulated in many human tumors of the breast, uterus, and ovary, suggesting a potential role in pathogenesis. Although coactivation of steroid-dependent transcription by SRA is accompanied by a proliferative response, overexpression is not in itself sufficient to induce turmorigenesis.


Aliases:    SRAP; STRAA1    

Entrez GeneID:    10011    

Swissprot:    Q9HD15    

Host/Isotype:    Mouse IgG1    

Species Reactivity:   Human    

Immunogen:    Purified recombinant fragment of SRA expressed in E. Coli.    

操作说明

IHC    1/200 - 1/1000    

ELISA    1/10000    

参考文献