SPATA19单克隆抗体[4A9F9]

AccuSift
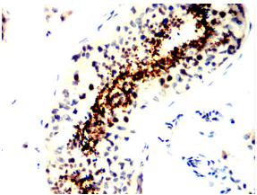
SPATA19 Mouse Monoclonal antibody[4A9F9]
CT132; SPAS1; spergen1
货号 名称 规格 价格 货期 数量
AC3563 SPATA19单克隆抗体[4A9F9] 50ug ¥1250 1周
AC3563 SPATA19单克隆抗体[4A9F9] 100ug ¥2200 1周

SPATA19 (Spermatogenesis Associated 19) is a Protein Coding gene. Diseases associated with SPATA19 include Multiple Mucosal Neuroma.


Aliases:    CT132; SPAS1; spergen1    

Entrez GeneID:    219938    

Swissprot:    Q7Z5L4     

WB Predicted band size:    19.1kDa    

Host/Isotype :   Mouse IgG1    

Species Reactivity:    Human    

Immunogen:    Purified recombinant fragment of human SPATA19 (AA: 25-167) expressed in E. Coli.    

操作说明

IHC    1/200 - 1/1000    

ELISA    1/10000    

参考文献