SOX2单克隆抗体[10L10]

AccuSift
SOX2 Mouse Monoclonal antibody[10L10]
ANOP3; MCOPS3
货号 名称 规格 价格 货期 数量
AC3557 SOX2单克隆抗体[10L10] 50ug ¥1250 1周
AC3557 SOX2单克隆抗体[10L10] 100ug ¥2200 1周

This intronless gene encodes a member of the SRY-related HMG-box (SOX) family of transcription factors involved in the regulation of embryonic development and in the determination of cell fate. The product of this gene is required for stem-cell maintenance in the central nervous system, and also regulates gene expression in the stomach. Mutations in this gene have been associated with optic nerve hypoplasia and with syndromic microphthalmia, a severe form of structural eye malformation. This gene lies within an intron of another gene called SOX2 overlapping transcript (SOX2OT).


Aliases:    ANOP3; MCOPS3    

Entrez GeneID:    6657    

Swissprot:    P48431    

WB Predicted band size:    34kDa    

Host/Isotype:    Mouse IgG1    

Species Reactivity:    Human,Mouse,Rat,Rabbit,Monkey    

Immunogen:    Purified recombinant fragment of human SOX2 expressed in E. Coli.    

操作说明

WB    1/500-1/1000    

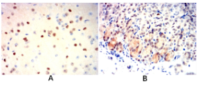
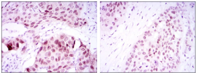
IHC    1/200 - 1/1000    

IF/ICC    1/200 - 1/1000    

FCM    1/200 - 1/400    

ELISA    1/10000    

参考文献