SOX11单克隆抗体[8D5D4]

AccuSift
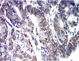
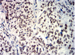
SOX11 Mouse Monoclonal antibody[8D5D4]
CSS9; MRD27
货号 名称 规格 价格 货期 数量
AC3555 SOX11单克隆抗体[8D5D4] 50ug ¥1250 1周
AC3555 SOX11单克隆抗体[8D5D4] 100ug ¥2200 1周

This intronless gene encodes a member of the SOX (SRY-related HMG-box) family of transcription factors involved in the regulation of embryonic development and in the determination of the cell fate. The encoded protein may act as a transcriptional regulator after forming a protein complex with other proteins. The protein may function in the developing nervous system and play a role in tumorigenesis.


Aliases:    CSS9; MRD27    

Entrez GeneID:    6664    

Swissprot:    P35716    

WB Predicted band size:    46.7kDa    

Host/Isotype:    Mouse IgG1    

Species Reactivity:    Human    

Immunogen:    Purified recombinant fragment of human SOX11 (AA: 1-250) expressed in E. Coli.    

操作说明

WB    1/500 - 1/2000    

IHC    1/200-1/1000    

FCM    1/200-1/400    

ELISA    1/10000    

参考文献