SNAI2单克隆抗体[4B6D5]

AccuSift
SNAI2 Mouse Monoclonal antibody[4B6D5]
SLUG; WS2D; SLUGH1; SNAIL2
货号 名称 规格 价格 货期 数量
AC3541 SNAI2单克隆抗体[4B6D5] 50ug ¥1250 1周
AC3541 SNAI2单克隆抗体[4B6D5] 100ug ¥2200 1周

This gene encodes a member of the Snail family of C2H2-type zinc finger transcription factors. The encoded protein acts as a transcriptional repressor that binds to E-box motifs and is also likely to repress E-cadherin transcription in breast carcinoma. This protein is involved in epithelial-mesenchymal transitions and has antiapoptotic activity. Mutations in this gene may be associated with sporatic cases of neural tube defects.


Aliases:    SLUG; WS2D; SLUGH1; SNAIL2    

Entrez GeneID:    6591    

Swissprot:    O43623    

WB Predicted band size:    30kDa    

Host/Isotype:    Mouse IgG1    

Species Reactivity:    Human    

Immunogen:    Purified recombinant fragment of human SNAI2 (AA: 100-200) expressed in E. Coli.    

操作说明

WB    1/500 - 1/2000    

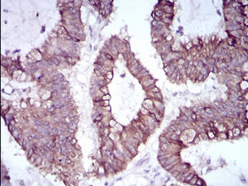
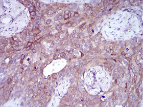
IHC    1/200 - 1/1000    

IF/ICC    1/200 - 1/1000    

FCM    1/200 - 1/400    

ELISA    1/10000    

参考文献