SLC2A14单克隆抗体[8E10E]

AccuSift
SLC2A14 Mouse Monoclonal antibody[8E10E]
GLUT14; SLC2A3P3
货号 名称 规格 价格 货期 数量
AC3515 SLC2A14单克隆抗体[8E10E] 50ug ¥1250 1周
AC3515 SLC2A14单克隆抗体[8E10E] 100ug ¥2200 1周

Members of the glucose transporter (GLUT) family, including SLC2A14, are highly conserved integral membrane proteins that transport hexoses such as glucose and fructose into all mammalian cells. GLUTs show tissue and cell-type specific expression.


Aliases:    GLUT14; SLC2A3P3    

Entrez GeneID:    144195    

Swissprot:    Q8TDB8     

WB Predicted band size:    56.3kDa    

Host/Isotype:    Mouse IgG2a      

Species Reactivity:    Human    

Immunogen:    Purified recombinant fragment of human SLC2A14 (AA: extra mix) expressed in E. Coli.    


操作说明

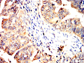
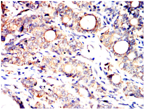
IHC    1/200 - 1/1000    

IF/ICC    1/200 - 1/1000    

ELISA    1/10000    

参考文献