SLC27A5单克隆抗体[9C461]

AccuSift
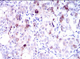
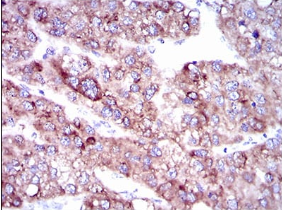
SLC27A5 Mouse Monoclonal antibody[9C461]
BAL; ACSB; BACS; FATP5; ACSVL6; FACVL3; FATP-5; VLACSR; VLCSH2; VLCS-H2
货号 名称 规格 价格 货期 数量
AC3513 SLC27A5单克隆抗体[9C461] 50ug ¥1250 1周
AC3513 SLC27A5单克隆抗体[9C461] 100ug ¥2200 1周

The protein encoded by this gene is an isozyme of very long-chain acyl-CoA synthetase (VLCS). It is capable of activating very long-chain fatty-acids containing 24- and 26-carbons. It is expressed in liver and associated with endoplasmic reticulum but not with peroxisomes. Its primary role is in fatty acid elongation or complex lipid synthesis rather than in degradation. This gene has a mouse ortholog.


Aliases:    BAL; ACSB; BACS; FATP5; ACSVL6; FACVL3; FATP-5; VLACSR; VLCSH2; VLCS-H2  

Entrez GeneID:    10998    

Swissprot:    Q9Y2P5    

WB Predicted band size:    75.4kDa    

Host/Isotype:    Mouse IgG1    

Species Reactivity:    Human,Mouse    

Immunogen:    Purified recombinant fragment of human SLC27A5 (AA: 508-570) expressed in E. Coli.    

操作说明

WB    1/500 - 1/2000    

IHC    1/200 - 1/1000    

ELISA    1/10000    

参考文献