SLC27A2单克隆抗体[6B3A9]

AccuSift
SLC27A2 Mouse Monoclonal antibody[6B3A9]
VLCS; FATP2; VLACS; ACSVL1; FACVL1; hFACVL1; HsT17226
货号 名称 规格 价格 货期 数量
AC3510 SLC27A2单克隆抗体[6B3A9] 50ug ¥1250 1周
AC3510 SLC27A2单克隆抗体[6B3A9] 100ug ¥2200 1周

The protein encoded by this gene is an isozyme of long-chain fatty-acid-coenzyme A ligase family. Although differing in substrate specificity, subcellular localization, and tissue distribution, all isozymes of this family convert free long-chain fatty acids into fatty acyl-CoA esters, and thereby play a key role in lipid biosynthesis and fatty acid degradation. This isozyme activates long-chain, branched-chain and very-long-chain fatty acids containing 22 or more carbons to their CoA derivatives. It is expressed primarily in liver and kidney, and is present in both endoplasmic reticulum and peroxisomes, but not in mitochondria. Its decreased peroxisomal enzyme activity is in part responsible for the biochemical pathology in X-linked adrenoleukodystrophy. Alternatively spliced transcript variants encoding different isoforms have been found for this gene.


Aliases:    VLCS; FATP2; VLACS; ACSVL1; FACVL1; hFACVL1; HsT17226    

Entrez GeneID:    11001    

Swissprot:    O14975    

WB Predicted band size:    70.3kDa    

Host/Isotype:    Mouse IgG1     

Species Reactivity:    Human    

Immunogen:    Purified recombinant fragment of human SLC27A2 (AA: 346-405) expressed in E. Coli.    


操作说明

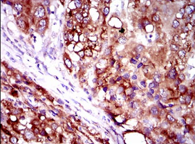
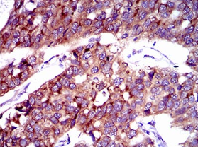
IHC    1/200 - 1/1000    

ELISA    1/10000    

参考文献