SKP1单克隆抗体[1H9G2]

AccuSift
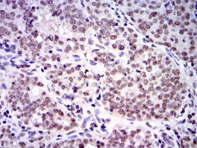
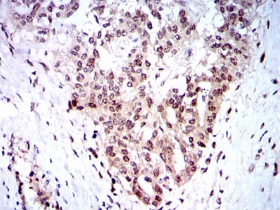
SKP1 Mouse Monoclonal antibody[1H9G2]
OCP2; p19A; EMC19; SKP1A; OCP-II; TCEB1L
货号 名称 规格 价格 货期 数量
AC3505 SKP1单克隆抗体[1H9G2] 50ug ¥1250 1周
AC3505 SKP1单克隆抗体[1H9G2] 100ug ¥2200 1周

This gene encodes a component of SCF complexes, which are composed of this protein, cullin 1, a ring-box protein, and one member of the F-box family of proteins. This protein binds directly to the F-box motif found in F-box proteins. SCF complexes are involved in the regulated ubiquitination of specific protein substrates, which targets them for degradation by the proteosome. Specific F-box proteins recognize different target protein(s), and many specific SCF substrates have been identified including regulators of cell cycle progression and development. Studies have also characterized the protein as an RNA polymerase II elongation factor. Alternative splicing of this gene results in two transcript variants. A related pseudogene has been identified on chromosome 7.


Aliases:    OCP2; p19A; EMC19; SKP1A; OCP-II; TCEB1L    

Entrez GeneID:    6500    

Swissprot:    P63208    

WB Predicted band size:    19kDa    

Host/Isotype:    Mouse IgG1     

Species Reactivity:    Human    

Immunogen:    Purified recombinant fragment of human SKP1 expressed in E. Coli.    

操作说明

WB    1/500 - 1/2000    

IHC    1/200 - 1/1000    

FCM    1/200 - 1/400    

ELISA    1/10000    

参考文献