SIGLEC8单克隆抗体[1A5B9]

AccuSift
SIGLEC8 Mouse Monoclonal antibody[1A5B9]
SAF2; SIGLEC-8; SIGLEC8L
货号 名称 规格 价格 货期 数量
AC3492 SIGLEC8单克隆抗体[1A5B9] 50ug ¥1250 1周
AC3492 SIGLEC8单克隆抗体[1A5B9] 100ug ¥2200 1周

Sialic acid-binding immunoglobulin (Ig)-like lectins, or SIGLECs (e.g., CD33 (MIM 159590)), are a family of type 1 transmembrane proteins each having a unique expression pattern, mostly in hemopoietic cells. SIGLEC8 is a member of the CD33-like subgroup of SIGLECs, which are localized to 19q13.3-q13.4 and have 2 conserved cytoplasmic tyrosine-based motifs: an immunoreceptor tyrosine-based inhibitory motif, or ITIM (see MIM 604964), and a motif homologous to one identified in signaling lymphocyte activation molecule (SLAM; MIM 603492) that mediates an association with SLAM-associated protein (SAP; MIM 300490) (summarized by Foussias et al., 2000 [PubMed 11095983])


Aliases:    SAF2; SIGLEC-8; SIGLEC8L    

Entrez GeneID:    27181    

Swissprot:    Q9NYZ4     

WB Predicted band size:    54kDa    

Host/Isotype:    Mouse IgG2b    

Species Reactivity:    Human, Mouse, Rat    

Immunogen :   Purified recombinant fragment of human SIGLEC8 (AA: extra 17-216) expressed in E. Coli.    

操作说明

WB    1/500 - 1/2000    

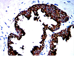
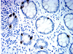
IHC    1/200 - 1/1000    

FCM    1/200 - 1/400    

ELISA    1/10000    

参考文献