SELL单克隆抗体[8C8F3]

AccuSift
SELL Mouse Monoclonal antibody[8C8F3]
TQ1; LAM1; LEU8; LNHR; LSEL; CD62L; LYAM1; PLNHR; LECAM1
货号 名称 规格 价格 货期 数量
AC3468 SELL单克隆抗体[8C8F3] 50ug ¥1250 1周
AC3468 SELL单克隆抗体[8C8F3] 100ug ¥2200 1周

This gene encodes a cell surface adhesion molecule that belongs to a family of adhesion/homing receptors. The encoded protein contains a C-type lectin-like domain, a calcium-binding epidermal growth factor-like domain, and two short complement-like repeats. The gene product is required for binding and subsequent rolling of leucocytes on endothelial cells, facilitating their migration into secondary lymphoid organs and inflammation sites. Single-nucleotide polymorphisms in this gene have been associated with various diseases including immunoglobulin A nephropathy. Alternatively spliced transcript variants have been found for this gene.


Aliases:    TQ1; LAM1; LEU8; LNHR; LSEL; CD62L; LYAM1; PLNHR; LECAM1    

Entrez GeneID:    6402    

Swissprot:    P14151    

WB Predicted band size:    42.2kDa    

Host/Isotype:    Mouse IgG2a    

Species Reactivity:    Human    

Immunogen:    Purified recombinant fragment of human SELL (AA: 83-186) expressed in E. Coli.    

操作说明

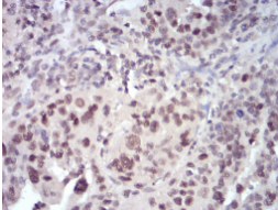
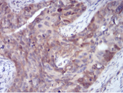
IHC    1/200 - 1/1000    

FCM    1/200 - 1/400    

ELISA    1/10000    

参考文献