SDHB单克隆抗体[2B2B1]

AccuSift
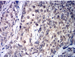
SDHB Mouse Monoclonal antibody[2B2B1]
IP; SDH; CWS2; PGL4; SDH1; SDH2; SDHIP
货号 名称 规格 价格 货期 数量
AC3464 SDHB单克隆抗体[2B2B1] 50ug ¥1250 1周
AC3464 SDHB单克隆抗体[2B2B1] 100ug ¥2200 1周

Complex II of the respiratory chain, which is specifically involved in the oxidation of succinate, carries electrons from FADH to CoQ. The complex is composed of four nuclear-encoded subunits and is localized in the mitochondrial inner membrane. The iron-sulfur subunit is highly conserved and contains three cysteine-rich clusters which may comprise the iron-sulfur centers of the enzyme. Sporadic and familial mutations in this gene result in paragangliomas and pheochromocytoma, and support a link between mitochondrial dysfunction and tumorigenesis.


Aliases:    IP; SDH; CWS2; PGL4; SDH1; SDH2; SDHIP    

Entrez GeneID:    6390    

Swissprot :   P21912    

WB Predicted band size:    31.6kDa    

Host/Isotype:    Mouse IgG1    

Species Reactivity:    Human    

Immunogen :   Purified recombinant fragment of human SDHB (AA: 29-280) expressed in E. Coli.    

操作说明

IHC    1/200 - 1/1000    

FCM    1/200 - 1/400    

ELISA    1/10000    

参考文献