S100B单克隆抗体[9A11B]

AccuSift
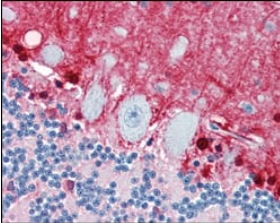
S100B Mouse Monoclonal antibody[9A11B]
NEF; S100; S100beta; S100B
货号 名称 规格 价格 货期 数量
AC3432 S100B单克隆抗体[9A11B] 50ug ¥1250 1周
AC3432 S100B单克隆抗体[9A11B] 100ug ¥2200 1周


S100B (S100 calcium binding protein B) is a member of the S100 family of proteins containing 2 EF-hand calcium binding motifs. S100 proteins are localized in the cytoplasm and/or nucleus of a wide range of cells, and involved in the regulation of a number of cellular processes such as cell cycle progression and differentiation. S-100 proteins and parvalbumin proteins are each expressed in neural tissues. In addition, S100B are present in a variety of other tissues, and calbindin is present in intestine and kidney. Parvalbumin B is found in many tumor tissues as well as in the organ of Corti. Calbindin, S-100 proteins and parvalbulmins have all been detected in leydig cells and the testis. These proteins are thought to play a role in hormone production and spermatogenesis. Chromosomal rearrangements and altered expression of this gene have been implicated in several neurological, neoplastic, and other types of diseases, including Alzheimer's disease, Down's syndrome, epilepsy, amyotrophic lateral sclerosis, melanoma, and type I diabetes.




Aliases:    NEF; S100; S100beta    

Entrez GeneID:    6285    

Swissprot:    P04271    

Host/Isotype:    Mouse IgG1    

Species Reactivity:    Human    

Immunogen:    Purified recombinant fragment of S100B expressed in E. Coli.    


操作说明

IHC    1/200 - 1/1000    

ELISA    1/10000    

参考文献