S100A9单克隆抗体[3A1H2]

AccuSift
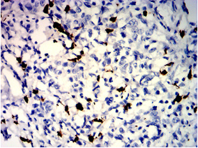
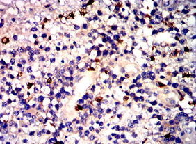
S100A9 Mouse Monoclonal antibody[3A1H2]
MIF; NIF; P14; CAGB; CFAG; CGLB; L1AG; LIAG; MRP14; 60B8AG; MAC387
货号 名称 规格 价格 货期 数量
AC3429 S100A9单克隆抗体[3A1H2] 50ug ¥1250 1周
AC3429 S100A9单克隆抗体[3A1H2] 100ug ¥2200 1周

The protein encoded by this gene is a member of the S100 family of proteins containing 2 EF-hand calcium-binding motifs. S100 proteins are localized in the cytoplasm and/or nucleus of a wide range of cells, and involved in the regulation of a number of cellular processes such as cell cycle progression and differentiation. S100 genes include at least 13 members which are located as a cluster on chromosome 1q21. This protein may function in the inhibition of casein kinase and altered expression of this protein is associated with the disease cystic fibrosis. This antimicrobial protein exhibits antifungal and antibacterial activity.


Aliases:    MIF; NIF; P14; CAGB; CFAG; CGLB; L1AG; LIAG; MRP14; 60B8AG; MAC387    

Entrez GeneID:    6280    

Swissprot:    P06702    

WB Predicted band size:    13.2kDa    

Host/Isotype:    Mouse IgG1    

Species Reactivity:    Human    

Immunogen:    Purified recombinant fragment of human S100A9 (AA: 1-114) expressed in E. Coli.    

操作说明

IHC    1/200 - 1/1000    

FCM    1/200 - 1/400    

ELISA    1/10000    

参考文献