S100A4单克隆抗体[4A5A7]

AccuSift
S100A4 Mouse Monoclonal antibody[4A5A7]
42A; 18A2; CAPL; FSP1; MTS1; P9KA; PEL98
货号 名称 规格 价格 货期 数量
AC3426 S100A4单克隆抗体[4A5A7] 50ug ¥1250 1周
AC3426 S100A4单克隆抗体[4A5A7] 100ug ¥2200 1周

The protein encoded by this gene is a member of the S100 family of proteins containing 2 EF-hand calcium-binding motifs. S100 proteins are localized in the cytoplasm and/or nucleus of a wide range of cells, and involved in the regulation of a number of cellular processes such as cell cycle progression and differentiation. S100 genes include at least 13 members which are located as a cluster on chromosome 1q21. This protein may function in motility, invasion, and tubulin polymerization. Chromosomal rearrangements and altered expression of this gene have been implicated in tumor metastasis. Multiple alternatively spliced variants, encoding the same protein, have been identified.


Aliases:    42A; 18A2; CAPL; FSP1; MTS1; P9KA; PEL98    

Entrez GeneID:    6275    

Swissprot:    P26447    

WB Predicted band size:    11.7kDa    

Host/Isotype:    Mouse IgG1      

Species Reactivity:    Human, Mouse, Rat    

Immunogen:    Purified recombinant fragment of human S100A4 (AA: 2-101) expressed in E. Coli.    

操作说明

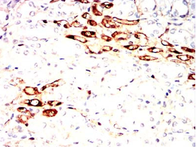
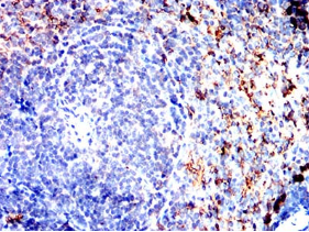
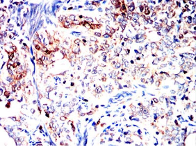
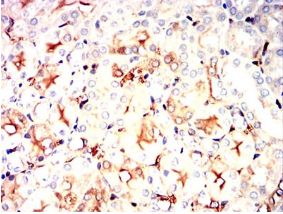
IHC    1/200 - 1/1000    

FCM    1/200 - 1/400    

ELISA    1/10000    

参考文献