RTN3单克隆抗体[10A8C]

AccuSift
RTN3 Mouse Monoclonal antibody[10A8C]
HAP; ASYIP; NSPL2; NSPLII; RTN3-A1; RTN3
货号 名称 规格 价格 货期 数量
AC3413 RTN3单克隆抗体[10A8C] 50ug ¥1250 1周
AC3413 RTN3单克隆抗体[10A8C] 100ug ¥2200 1周

RTN3, reticulon 3. The reticulons are a group of highly conserved genes with preferential expression in neuroendocrine tissues. RTN3 may be involved in membrane trafficking in the early secretory pathway. Inhibits BACE1 activity and amyloid precursor protein processing. May induce caspase-8 cascade and apoptosis. May favor BCL2 translocation to the mitochondria upon endoplasmic reticulum stress. In case of enteroviruses infection, RTN3 may be involved in the viral replication or pathogenesis. There are 5 isoforms.


Aliases:    HAP; ASYIP; NSPL2; NSPLII; RTN3-A1    

Entrez GeneID:    10313    

Swissprot:    O95197    

WB Predicted band size:    113kDa    

Host/Isotype:    Mouse IgG2a    

Species Reactivity:    Human    

Immunogen:    Purified recombinant fragment of RTN3 expressed in E. Coli.    

操作说明

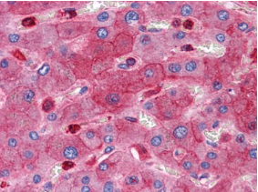
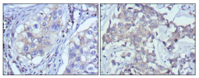
IHC    1/200 - 1/1000    

ELISA    1/10000    

参考文献