RPA1单克隆抗体[4C4D9]

AccuSift
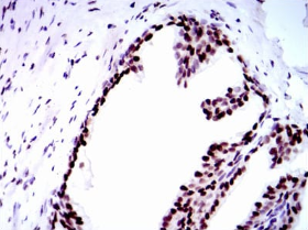
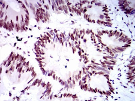
RPA1 Mouse Monoclonal antibody[4C4D9]
HSSB; RF-A; RP-A; REPA1; RPA70; MST075
货号 名称 规格 价格 货期 数量
AC3401 RPA1单克隆抗体[4C4D9] 50ug ¥1250 1周
AC3401 RPA1单克隆抗体[4C4D9] 100ug ¥2200 1周

This gene Plays an essential role in several cellular processes in DNA metabolism including replication, recombination and DNA repair. Binds and subsequently stabilizes single-stranded DNA intermediates and thus prevents complementary DNA from reannealing.


Aliases:    HSSB; RF-A; RP-A; REPA1; RPA70; MST075    

Entrez GeneID:    6117    

Swissprot :   P27694    

WB Predicted band size:    68.1kDa    

Host/Isotype:    Mouse IgG1     

Species Reactivity:    Human,Monkey    

Immunogen:    Purified recombinant fragment of human RPA1 expressed in E. Coli.    

操作说明

WB    1/500 - 1/2000    

IHC    1/200 - 1/1000    

IF/ICC    1/200 - 1/1000    

FCM    1/200 - 1/400    

ELISA    1/10000    

参考文献