ROP1单克隆抗体[4A7E1]

AccuSift
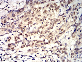
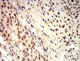
ROP1 Mouse Monoclonal antibody[4A7E1]
货号 名称 规格 价格 货期 数量
AC3398 ROP1单克隆抗体[4A7E1] 50ug ¥1250 1周
AC3398 ROP1单克隆抗体[4A7E1] 100ug ¥2200 1周

Aliases:    Toxoplasma gondii rhoptry protein ROP1    

WB Predicted band size:    42.6kDa    

Host/Isotype:    Mouse IgG1    

Species Reactivity:    Human,Mouse    

Immunogen:    Purified recombinant fragment of Toxoplasma gondii rhoptry protein ROP1 (AA: 42-183) expressed in E. Coli.    

操作说明

WB    1/500 - 1/2000    

IHC    1/200 - 1/1000    

FCM    1/200 - 1/400    

ELISA    1/10000    

参考文献