Ring1单克隆抗体[8C12F]

AccuSift
Ring1 Mouse Monoclonal antibody[8C12F]
RNF1; RING1A
货号 名称 规格 价格 货期 数量
AC3386 Ring1单克隆抗体[8C12F] 50ug ¥1250 1周
AC3386 Ring1单克隆抗体[8C12F] 100ug ¥2200 1周

This gene belongs to the RING finger family, members of which encode proteins characterized by a RING domain, a zinc-binding motif related to the zinc finger domain. The gene product can bind DNA and can act as a transcriptional repressor. It is associated with the multimeric polycomb group protein complex. The gene product interacts with the polycomb group proteins BMI1, EDR1, and CBX4, and colocalizes with these proteins in large nuclear domains. It interacts with the CBX4 protein via its glycine-rich C-terminal domain. The gene maps to the HLA class II region, where it is contiguous with the RING finger genes FABGL and HKE4.


Aliases:    RNF1; RING1A    

Entrez GeneID:    6015    

Swissprot:    Q06587    

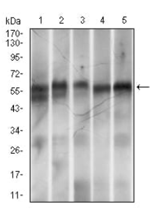
WB Predicted band size:    42.4kDa    

Host/Isotype:    Mouse IgG1    

Species Reactivity:    Human    

Immunogen:    Purified recombinant fragment of human Ring1 (AA: 79-263) expressed in E. Coli.    

操作说明

WB    1/500 - 1/2000    

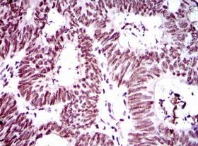
IHC    1/200 - 1/1000    

FCM    1/200 - 1/400    

ELISA    1/10000    

参考文献