RFA2单克隆抗体[2C5B6]

AccuSift
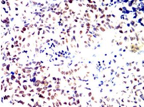
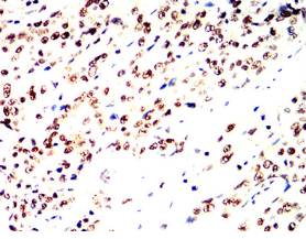
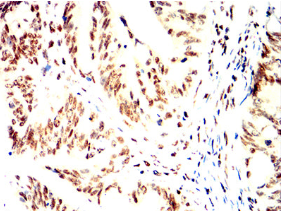
RFA2 Mouse Monoclonal antibody[2C5B6]
RP-A p34, RPA2, REPA2, RPA32, RPA34
货号 名称 规格 价格 货期 数量
AC3381 RFA2单克隆抗体[2C5B6] 50ug ¥1250 1周
AC3381 RFA2单克隆抗体[2C5B6] 100ug ¥2200 1周

This gene encodes a subunit of the heterotrimeric Replication Protein A (RPA) complex, which binds to single-stranded DNA (ssDNA), forming a nucleoprotein complex that plays an important role in DNA metabolism, being involved in DNA replication, repair, recombination, telomere maintenance, and co-ordinating the cellular response to DNA damage through activation of the ataxia telangiectasia and Rad3-related protein (ATR) kinase. The RPA complex protects single-stranded DNA from nucleases, prevents formation of secondary structures that would interfere with repair, and co-ordinates the recruitment and departure of different genome maintenance factors. The heterotrimeric complex has two different modes of ssDNA binding, a low-affinity and high-affinity mode, determined by which oligonucleotide/oligosaccharide-binding (OB) domains of the complex are utilized, and differing in the length of DNA bound. This subunit contains a single OB domain that participates in high-affinity DNA binding and also contains a winged helix domain at its carboxy terminus, which interacts with many genome maintenance protein. Post-translational modifications of the RPA complex also plays a role in co-ordinating different damage response pathways.

 

Aliases:    RP-A p34, RPA2, REPA2, RPA32, RPA34    

Entrez GeneID:    6118    

Swissprot :   P15927       

WB Predicted band size:    29kDa    

Host/Isotype:    Mouse IgG1    

Species Reactivity:    Human    

Immunogen:    Purified recombinant fragment of human RFA2 expressed in E. Coli.    

操作说明

WB    1/500 - 1/2000    

IHC    1/200 - 1/1000    

FCM    1/200 - 1/400    

参考文献