REG1A单克隆抗体[1A4G9]

AccuSift
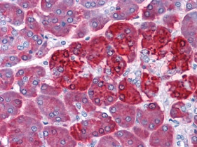
REG1A Mouse Monoclonal antibody[1A4G9]
P19; PSP; PTP; REG; ICRF; PSPS; PSPS1; MGC12447; REG1A
货号 名称 规格 价格 货期 数量
AC3376 REG1A单克隆抗体[1A4G9] 50ug ¥1250 1周
AC3376 REG1A单克隆抗体[1A4G9] 100ug ¥2200 1周

REG1A (regenerating islet-derived 1 alpha), also known as PTP, PSP, is a member of the Reg family of secreted proteins with a C-type lectin domain. REG1A is associated with islet cell regeneration and diabetogenesis and may be involved in pancreatic lithogenesis.Due to variable glycosylation, pancreatic REG1A exists as multiple species of 16 - 18 kDa. REG1A promotes the maintenance and growth of pancreatic islet

  

Aliases:    P19; PTP; PSP    

Entrez GeneID:    5967    

WB Predicted band size:    19kDa    

Host/Isotype:    Mouse IgG1    

Species Reactivity:    Human    

Immunogen:    Purified recombinant fragment of human REG1A fused with hIgGFc tag expressed in HEK293 cell line.    

操作说明

IHC    1/200 - 1/1000    

IF/ICC    1/200 - 1/1000    

ELISA    1/10000    

参考文献