RALB单克隆抗体[8A8A9]

AccuSift
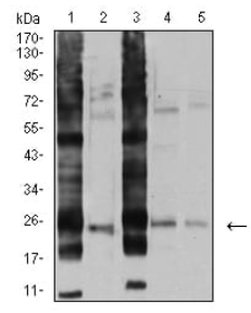
RALB Mouse Monoclonal antibody[8A8A9]
货号 名称 规格 价格 货期 数量
AC3357 RALB单克隆抗体[8A8A9] 50ug ¥1250 1周
AC3357 RALB单克隆抗体[8A8A9] 100ug ¥2200 1周

This gene encodes a GTP-binding protein that belongs to the small GTPase superfamily and Ras family of proteins. GTP-binding proteins mediate the transmembrane signaling initiated by the occupancy of certain cell surface receptors.


Entrez GeneID:    5899    

Swissprot:    P11234    

WB Predicted band size:    23.4kDa    

Host/Isotype:    Mouse IgG2a    

Species Reactivity:    Human    

Immunogen :   Purified recombinant fragment of human RALB (AA: 89-206) expressed in E. Coli.    

操作说明

WB    1/500 - 1/2000    

FCM    1/200 - 1/400    

ELISA    1/10000    

参考文献