RALA单克隆抗体[4G8C7]

AccuSift
RALA Mouse Monoclonal antibody[4G8C7]
RAL
货号 名称 规格 价格 货期 数量
AC3355 RALA单克隆抗体[4G8C7] 50ug ¥1250 1周
AC3355 RALA单克隆抗体[4G8C7] 100ug ¥2200 1周

The product of this gene belongs to the small GTPase superfamily, Ras family of proteins. GTP-binding proteins mediate the transmembrane signaling initiated by the occupancy of certain cell surface receptors. This gene encodes a low molecular mass ras-like GTP-binding protein that shares about 50% similarity with other ras proteins.


Aliases:    RAL    

Entrez GeneID:    5898    

Swissprot:    P11233    

WB Predicted band size:    23.6kDa    

Host/Isotype:    Mouse IgG1    

Species Reactivity:    Human,Mouse,Rat,Monkey    

Immunogen:    Purified recombinant fragment of human RALA (AA: 71-203) expressed in E. Coli.    

操作说明

WB    1/500 - 1/2000    

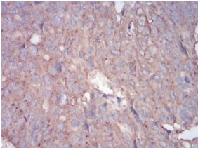
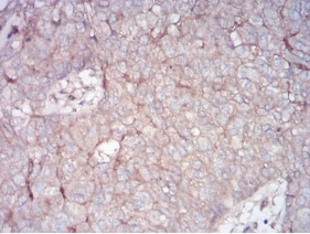
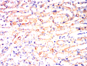
IHC    1/100 - 1/500    

IF/ICC    1/50 - 1/500    

FCM    1/200 - 1/400    

ELISA    1/10000    

参考文献