RAD50单克隆抗体[3D2G1]

AccuSift
RAD50 Mouse Monoclonal antibody[3D2G1]
NBSLD; RAD502; hRad50
货号 名称 规格 价格 货期 数量
AC3345 RAD50单克隆抗体[3D2G1] 50ug ¥1250 1周
AC3345 RAD50单克隆抗体[3D2G1] 100ug ¥2200 1周

The protein encoded by this gene is highly similar to Saccharomyces cerevisiae Rad50, a protein involved in DNA double-strand break repair. This protein forms a complex with MRE11 and NBS1. The protein complex binds to DNA and displays numerous enzymatic activities that are required for nonhomologous joining of DNA ends. This protein, cooperating with its partners, is important for DNA double-strand break repair, cell cycle checkpoint activation, telomere maintenance, and meiotic recombination. Knockout studies of the mouse homolog suggest this gene is essential for cell growth and viability. Mutations in this gene are the cause of Nijmegen breakage syndrome-like disorder.


Aliases:    NBSLD; RAD502; hRad50    

Entrez GeneID:    10111    

Swissprot :   Q92878      

WB Predicted band size:    154kDa    

Host/Isotype:    Mouse IgG2a    

Species Reactivity:    Human,Rat    

Immunogen:    Purified recombinant fragment of human RAD50 (AA: 228-359) expressed in E. Coli.    

操作说明

WB    1/500 - 1/2000    

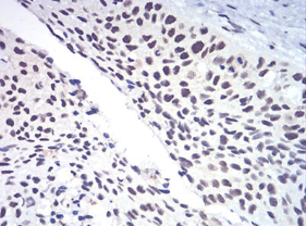
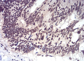
IHC    1/200 - 1/1000    

FCM    1/200 - 1/400    

ELISA    1/10000    

参考文献