RABEP2单克隆抗体[2B1B6]

AccuSift
RABEP2 Mouse Monoclonal antibody[2B1B6]
FRA
货号 名称 规格 价格 货期 数量
AC3336 RABEP2单克隆抗体[2B1B6] 50ug ¥1250 1周
AC3336 RABEP2单克隆抗体[2B1B6] 100ug ¥2200 1周

This gene encodes a Rabaptin, RAB GTPase Binding Effector Protein 2. The encoded protein Plays a role in membrane trafficking and in homotypic early endosome fusion. Participates in arteriogenesis by regulating vascular endothelial growth factor receptor 2/VEGFR2 cell surface expression and endosomal trafficking . By interacting with SDCCAG8, localizes to centrosomes and plays a critical role in ciliogenesis

  

Aliases:    FRA    

Entrez GeneID:    79874    

Swissprot:    Q9H5N1    

WB Predicted band size:    63.5kDa    

Host/Isotype:    Mouse IgG1    

Species Reactivity:    Human    

Immunogen:    Purified recombinant fragment of human RABEP2 (AA: 10-200) expressed in HEK293-6e cells supernatant.    

操作说明

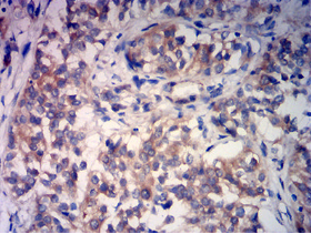
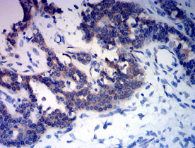
IHC    1/200 - 1/1000    

FCM    1/200 - 1/400    

ELISA    1/10000    

参考文献