Rab5a单克隆抗体[3H5C1]

AccuSift
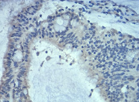
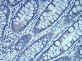
Rab5a Mouse Monoclonal antibody[3H5C1]
RAB5
货号 名称 规格 价格 货期 数量
AC3332 Rab5a单克隆抗体[3H5C1] 50ug ¥1250 1周
AC3332 Rab5a单克隆抗体[3H5C1] 100ug ¥2200 1周

RAB5A (RAB5A, Member RAS Oncogene Family) is a Protein Coding gene. Diseases associated with RAB5A include borna disease and choroideremia. Among its related pathways are Ras signaling pathway and Endocytosis. GO annotations related to this gene include GTP binding and GDP binding. An important paralog of this gene is RAB5C.


Aliases:    RAB5    

Entrez GeneID:    5868    

Swissprot:    P20339      

WB Predicted band size:    23.7kDa    

Host/Isotype:    Mouse IgG1    

Species Reactivity:    Human    

Immunogen:    Purified recombinant fragment of human Rab5a (AA: 1-215) expressed in E. Coli.    

操作说明

WB    1/500 - 1/2000    

IHC    1/200 - 1/1000    

IF/ICC    1/200 - 1/1000    

FCM    1/200 - 1/400    

ELISA    1/10000    

参考文献