RAB4A单克隆抗体[4E11C]

AccuSift
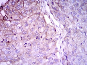
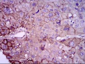
RAB4A Mouse Monoclonal antibody[4E11C]
RAB4; HRES-1/RAB4
货号 名称 规格 价格 货期 数量
AC3330 RAB4A单克隆抗体[4E11C] 50ug ¥1250 1周
AC3330 RAB4A单克隆抗体[4E11C] 100ug ¥2200 1周

The protein encoded by this gene belongs to the rab family. Rab4A protein is involved in the regulation of procathepsin L secretion, it was either inhibited by expression of a Rab4A dominant-negative mutant or increased by overexpression of the wild-type Rab4A in human melanoma cells.

    

Aliases:    RAB4; HRES-1/RAB4    

Entrez GeneID:    5867    

Swissprot:    P20338    

WB Predicted band size:    23.8kDa    

Host/Isotype:    Mouse IgG1     

Species Reactivity:    Human,Mouse,Monkey    

Immunogen:    Purified recombinant fragment of human RAB4A expressed in E. Coli.    

操作说明

WB    1/500 - 1/2000    

IHC    1/200 - 1/1000    

FCM    1/200 - 1/400    

ELISA    1/10000    

参考文献